DERMATOLOGY
ATLAS
Home
Browse
Contact
Contributors
Links
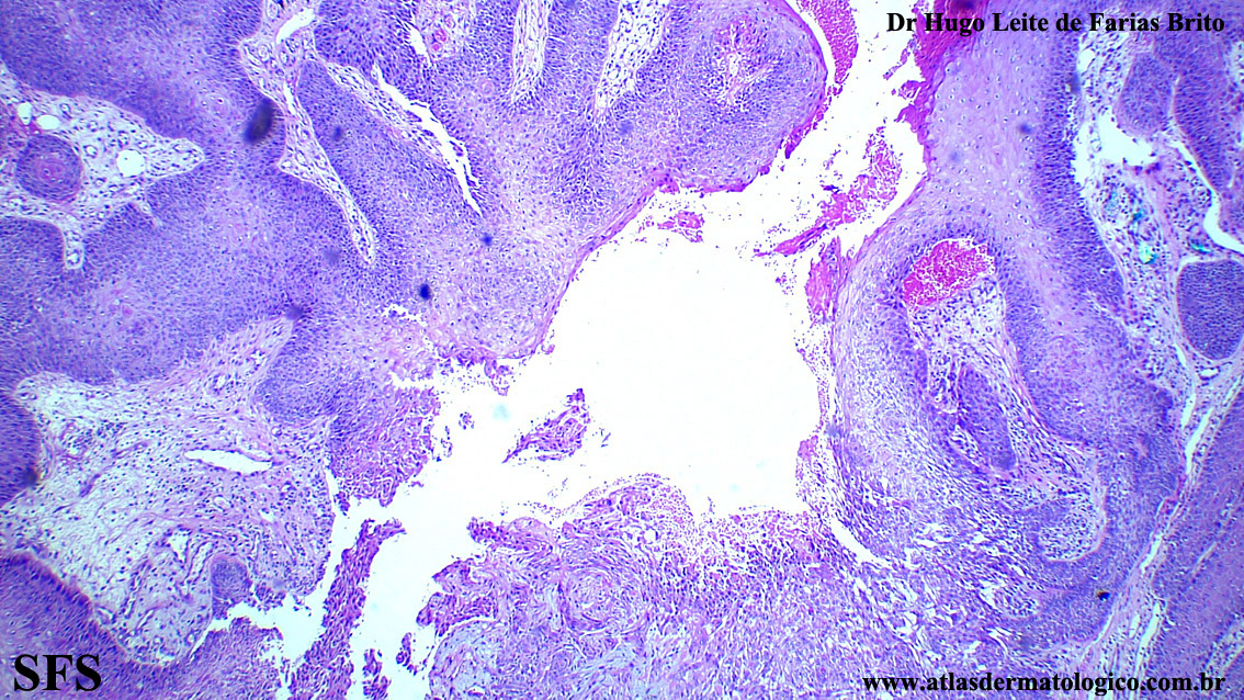
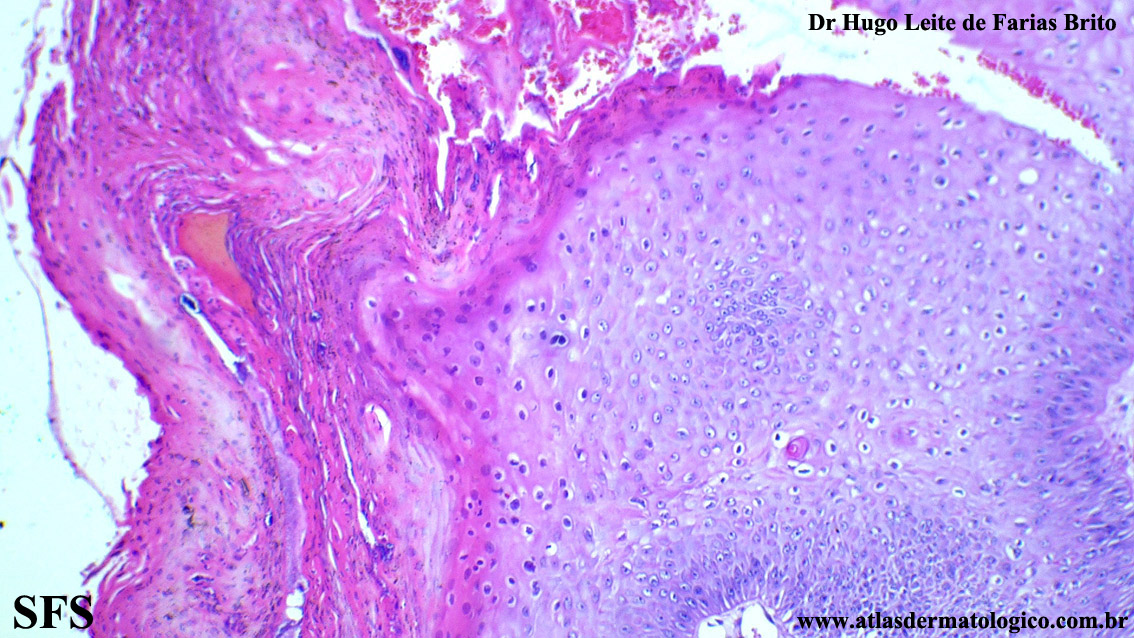
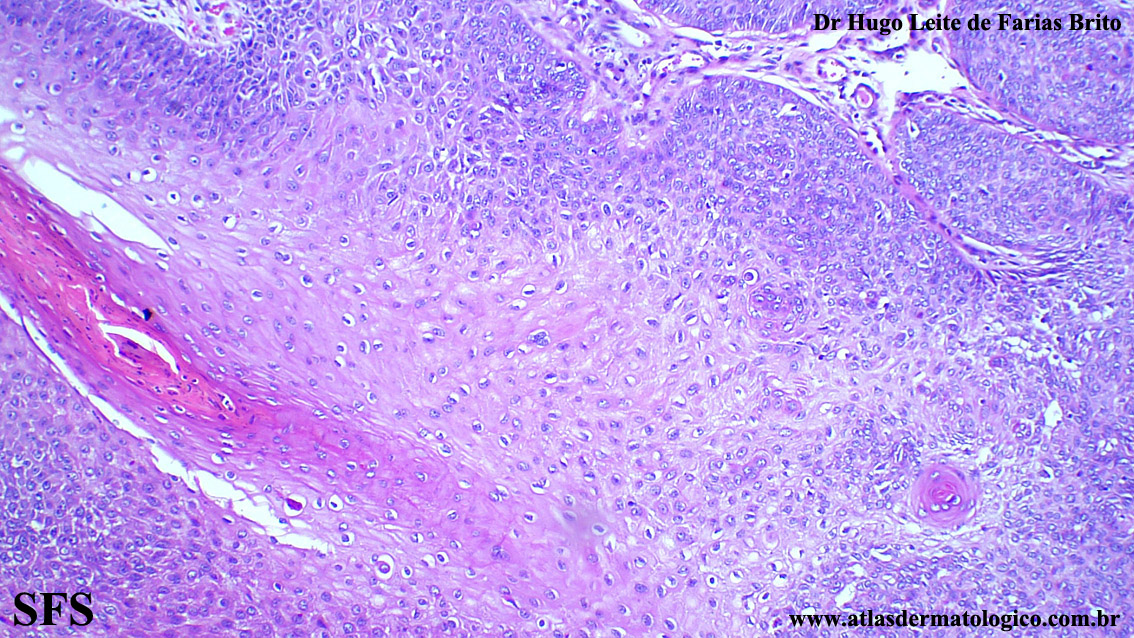
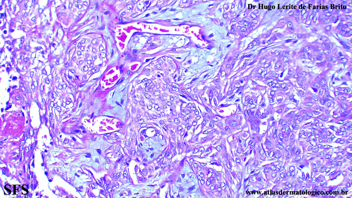
trichilemmoma-desmoplastic_trichilemmoma