DERMATOLOGY
ATLAS
Home
Browse
Contact
Contributors
Links
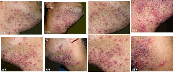
herpetic sycosis