DERMATOLOGY
ATLAS
Home
Browse
Contact
Contributors
Links
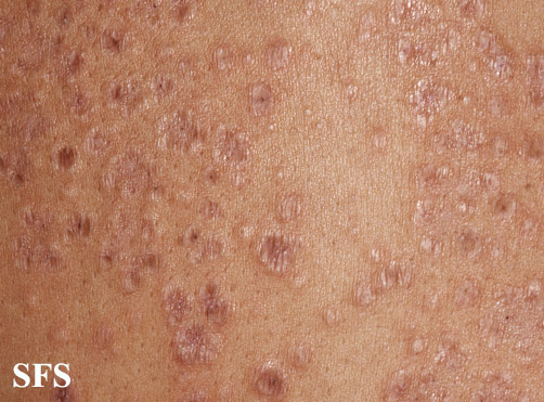
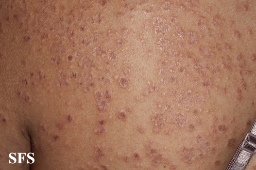
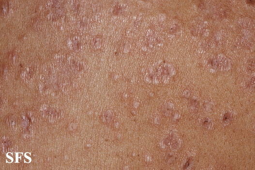
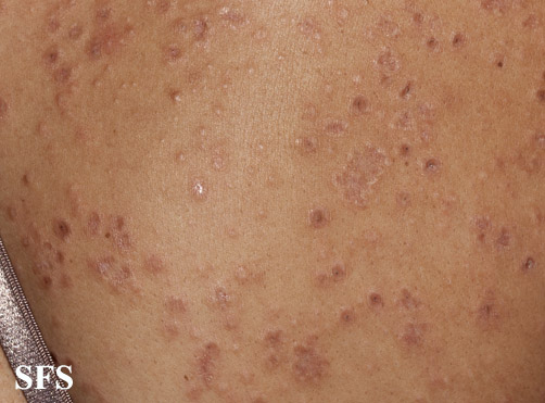
granuloma annulare-disseminated granuloma annulare