DERMATOLOGY
ATLAS
Home
Browse
Contact
Contributors
Links
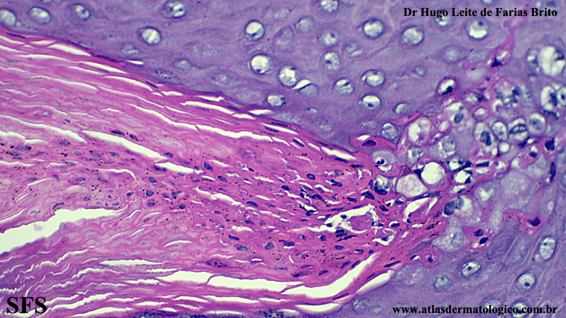
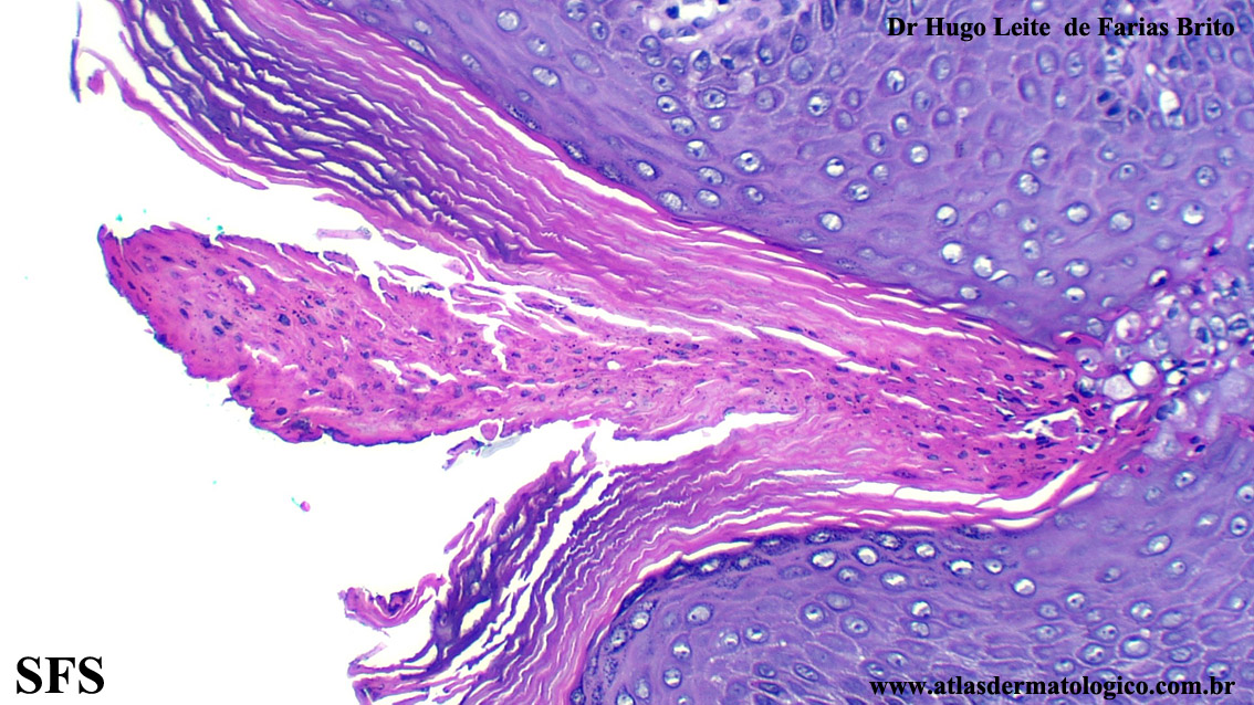
porokeratosis-inguinal_porokeratosis