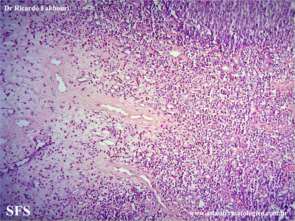
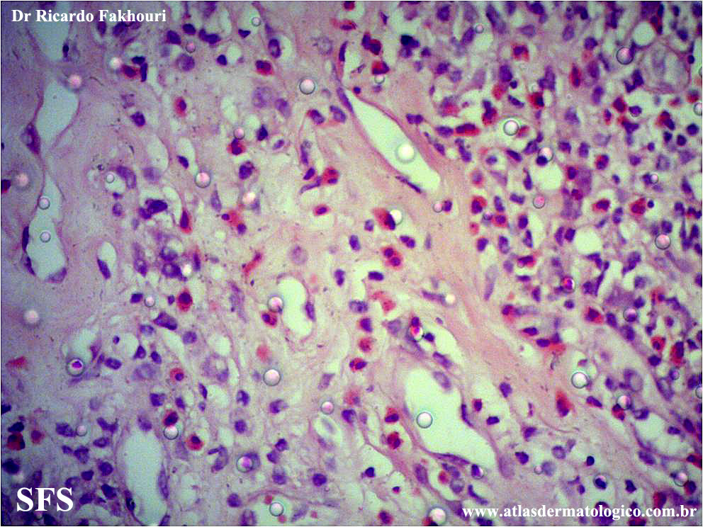
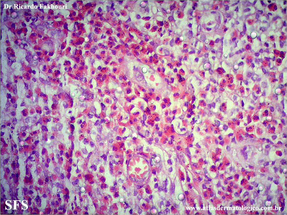
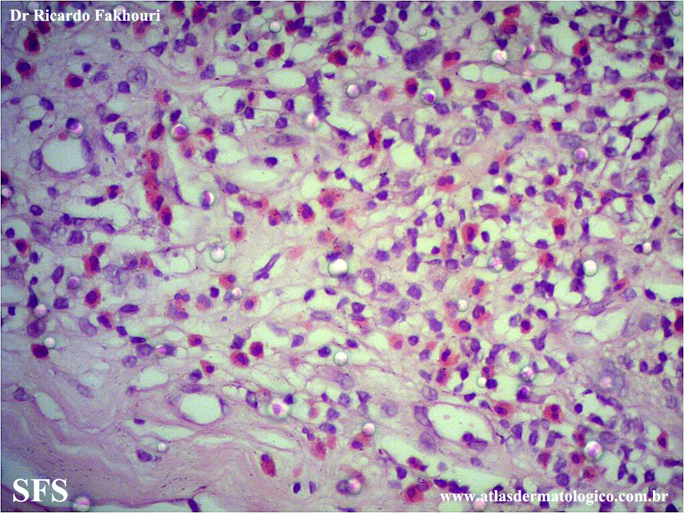
kimura_disease