DERMATOLOGY
ATLAS
  • Home
  • Browse
  • Contact
  • Contributors
  • Links

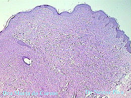
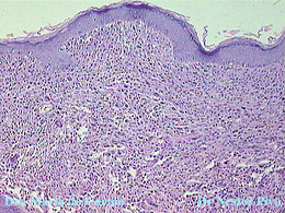
xanthogranuloma juvenile

xanthogranuloma juvenile xanthogranuloma juvenile xanthogranuloma juvenile xanthogranuloma juvenile xanthogranuloma juvenile xanthogranuloma juvenile xanthogranuloma juvenile xanthogranuloma juvenile xanthogranuloma juvenile xanthogranuloma juvenile xanthogranuloma juvenile xanthogranuloma juvenile xanthogranuloma juvenile xanthogranuloma juvenile xanthogranuloma juvenile xanthogranuloma juvenile xanthogranuloma juvenile xanthogranuloma juvenile xanthogranuloma juvenile xanthogranuloma juvenile xanthogranuloma juvenile xanthogranuloma juvenile xanthogranuloma juvenile xanthogranuloma juvenile xanthogranuloma juvenile xanthogranuloma juvenile xanthogranuloma juvenile xanthogranuloma juvenile xanthogranuloma juvenile xanthogranuloma juvenile xanthogranuloma juvenile xanthogranuloma juvenile xanthogranuloma juvenile xanthogranuloma juvenile
Copyright © 1999-2025 Atlas Dermatológico, All Rights Reserved.