DERMATOLOGY
ATLAS
Home
Browse
Contact
Contributors
Links
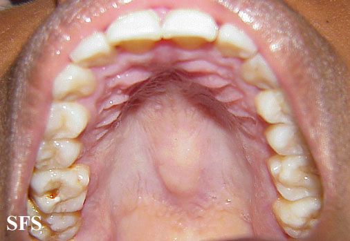
torus palatinus